top of page
Gphantom Face ATM
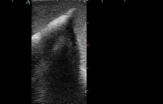
The Gphantom Face ATM is a simulator for training intra-articular injections, whether blind or guided by ultrasound (US), targeting the upper and lower joint spaces of the temporomandibular joint (TMJ). It is designed in collaboration with experts in the field. This model replicates the anatomy of the TMJ, ensuring a more realistic and accurate training experience.
Download Manual
Frequentely Asked Questions
Pergunta
O texto recolhível é ótimo para títulos e descrições de seção mais longos. Ele dá às pessoas acesso a todas as informações de que precisam, enquanto mantém seu layout limpo. Vincule seu texto ou configure sua caixa de texto para expandir com um clique. Escreva seu texto aqui
bottom of page







